Bleeding Gums Treatment in Malad East, Mumbai | Causes & Best Solutions

Bleeding gums while brushing? Learn causes, stages, and painless treatment options at Dentzania, Malad East, Mumbai. Book your gum check today!https://www.dentzania.com/treatment-of-bleeding-gum.html
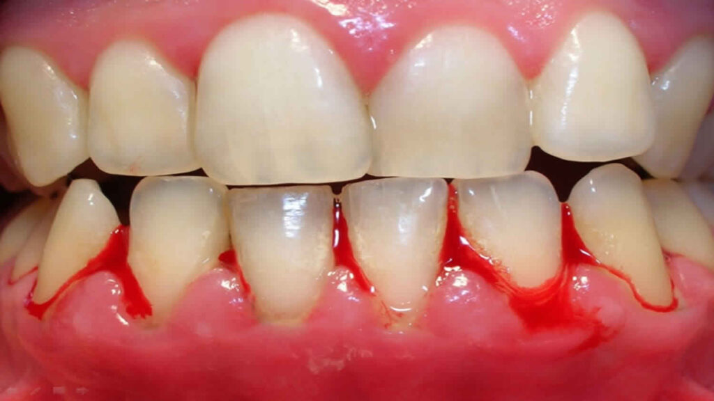
Bleeding Gums? Don’t Ignore This Early Warning Sign
If your gums bleed while brushing or flossing, it’s not normal—it’s a sign of gum inflammation.
At Dentzania Dental Clinic, Malad East, we often see patients ignoring this early symptom until it turns into a bigger problem.
Healthy gums do NOT bleed.
Common Causes of Bleeding Gums
- Plaque and tartar buildup
- Improper brushing technique
- Vitamin deficiency
- Hormonal changes (pregnancy gingivitis)
- Smoking
Ignoring these can lead to serious gum disease.
Stages of Gum Disease
1. Gingivitis (Early Stage)

- Bleeding gums
- Redness & swelling
✅ Reversible with professional cleaning
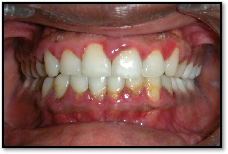
2. Periodontitis (Advanced Stage)

- Gum recession
- Bone loss
- Loose teeth
⚠️ Requires advanced treatment
What Happens If You Ignore It?
- Tooth mobility and loss
- Chronic bad breath
- Painful infections
- Higher treatment costs later
Early treatment is simple. Late treatment is complicated.
Best Gum Treatment Options at Dentzania
We provide advanced, painless solutions:
✔ Scaling & polishinghttps://www.dentzania.com/teeth-cleaning-and-polishing.html
✔ Deep cleaning (root planing)https://www.dentzania.com/deep-cleaning-and-curettage.html
✔ Laser gum treatmenthttps://www.dentzania.com/laser-gum-treatments.html
✔ Personalized oral hygiene planhttps://www.dentzania.com/dental-consultation.html
Our Focus: Save your natural teeth with minimal discomfort.
Home Care Tips to Prevent Gum Disease
- Brush twice daily (soft brush)
- Floss regularly
- Use medicated mouthwash
- Avoid smoking
- Visit dentist every 6 months
When Should You Immediately Get a Gum Evaluation?
If you notice:
- Bleeding while brushing
- Bad breath
- Gum swelling
- Sensitivity/ burning sensation
- change in gum shape or colour
Book a consultation early to avoid major treatments and bone loss !
Bleeding gums are your body’s early warning system.
At Dentzania, we believe in early diagnosis, painless treatment, and long-term results.

