Laser Gum Treatments
Best Laser Gum Treatments in Goregaon East, Mumbai
Revive Your Gums with Advanced Laser Dentistry !
Modern dentistry has embraced innovation, and lasers have emerged as a groundbreaking solution to the common concerns, transforming the patient experience and outcomes.
Dentzania brings to you, specialised soft tissue laser treatments for gum treatments and surgical procedures!
In recent years, laser gum surgery has become more widespread for treating moderate to severe gum disease.
Laser stands for Light Amplification by Stimulated Emission of Radiation.
Lasers are used in dental care for many reasons, including laser gum surgery. Whether you want to prevent gum disease or improve your smile, a laser is the best alternative to traditional, invasive surgeries.
Our skilled periodontists at Dentzania in Goregaon East Mumbai are experts in addressing oral health issues using laser treatments.
Laser gum treatment is gentle, requiring no stitches and minimal downtime. This makes the choice easy if you’re seeking alternative cures for your dental needs. Dental lasers are used for a variety of treatment procedures. Dentzania dental care is here to bring you the many advantages of this exciting new technology.
Laser treatment of periodontal disease
Periodontal or gum disease is an infection of the supporting tissues and bone that hold the teeth in place. Generally affecting adults in their 30s and 40s, periodontal diseases are caused due to a number of reasons, such as poor oral health, genetic susceptibility, chronic illnesses like diabetes, smoking, and certain medications.
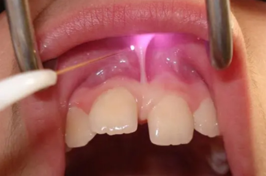
Soft Tissue Laser can be a great advocate in the fight against Periodontal Disease .Laser gum treatment is a tissue-preserving, regenerative, and bone-building procedure. The dentist uses a laser to access an infected pocket to kill the infected tissue and bacteria.
Various procedures using lasers for treating gums include
1. LBR (Laser Bacterial Removal)
The first procedure against Periodontal disease is called LBR which stands for Laser Bacterial Removal. It is done by placing a microfiber tip under the gum line which releases heat and disrupts and removes bacteria which are the cause of gingivitis. This procedure is done in combination with your professional teeth cleaning and proper at home hygiene care which will reduce significant swelling and bleeding of the tissues of the mouth.
2. LAPT (Laser Assisted Periodontal Treatment)
This procedure is used for a more advanced disease of the tissues of the mouth or advanced pyorrhoea that affects the gums and bone . When a patient is at this stage it is because the bacteria that is under the gum line has not been removed or disrupted and the body’s natural defense is to attack. The white blood cells attack the bacteria that are attached to tooth and bone under the gum line and in turn destroys this bone. Eventually this will affect the tissue that connects the tooth to the bone which is what cause recession of the gums, bones loss and eventually tooth loss. LAPT is a treatment that sends a higher laser heat under the gum and removes the dead and diseased tissues and stimulates the cells that generate bone growth. Simply it helps the tooth reattach to the bone and reduces receding gum lines. In order for this treatment to be successful, a lot depends on the patients at home care and regular appointments with the dental hygienist.
3. Laser gum surgery
Laser gum surgery is a modern surgery alternative where light energy is used to improve your oral health and your smile. It’s a method used to kill bacteria and stimulate bone and it can even reshape gum tissue to improve the gum contours
4. Laser Gummy smile correction
Gummy smile is the excessive display of gum tissues on smiling. This often makes people conscious of their smile. With the evolution of technology nowadays we have effective treatment plans to get rid of excessive gum tissue. The latest being the use of laser in gum surgery. The use of dental lasers reduces the recovery time and causes less discomfort as compared to other mode of treatment. With the use of soft tissue laser we can reshape gums, increase the crown height and remove excessive gum tissue. This a pain free, easy and fast procedure that will free you from excess gum tissue and give you the smile of your dreams. This is usually done in conjunction with a smile design with veneers or caps, but many times even a simple gum reshaping for a gummy smile can just do the magic and you will be amazed ! link
5. Laser gum depigmentation
Laser gum depigmentation is a cosmetic dentistry procedure that uses a laser to lighten dark gum tissue. It's also known as gum bleaching, gum lightening, and dark gum treatment. It's a minimally invasive procedure that doesn't require incisions or sutures and is quick and precise . The laser vaporizes the top layer of gum tissue and the new tissue that grows in during healing is usually pink ,which greatly enhances the appearance of your smile ! For people who have dark gums that they find aesthetically unpleasing , laser gum depigmentation at dentzania dental will amazingly enhance your smile ! Know more
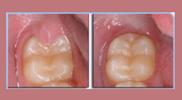
Before / After
Laser Gum depigmentation
Laser Gum contouring with veneers
Laser Gum Treatments ( Bacterial removal )
Laser Gum Treatment - Frequently Asked Questions
- Faster healing time
- Minimal bleeding
- No stitches required
- Reduced risk of infection
- Less discomfort during and after treatment
Benefits of Laser Technology for gum disease treatment
Limits bleeding
Numerous gingivitis patients suffer from severe gum bleeding and bone loss. Therefore, it’s critical to remove bacteria from the teeth and gingival pockets. Lasers provide the benefit of not only removing the bacteria but also killing them. This helps reduce bleeding and swelling of gums. It may even eliminate the need for further gum disease treatment such as gum surgery.
Can be optimized for patients
Based on the varying levels of periodontal disease, the wavelengths and power levels of the laser beam can be adjusted. This gives dentists ultimate control over the procedure and allows them to provide a dental treatment that is uniquely designed for individual patients and their long-term requirements.
Shorter healing time
Laser treatment causes little trauma to the gum, tooth, and surrounding areas. This means healing time is drastically reduced compared to traditional surgery. Patients will recover quicker and the whole process will be much faster.
Minimally invasive
Lasers are less invasive and precise. The overall result is less pain and discomfort for patients. With minimal discomfort, patients will feel less anxious and relaxed during treatment.
Preserves healthy parts of the teeth
Since laser treatments are extremely precise, the technology can be used to preserve the healthy parts of the teeth while removing cavities. For patients with severe bacterial infections, preserving any healthy teeth will help ensure stronger outcomes in the long run.
Minimizes risk of bacterial infection
lasers help in sterilizing the affected area and offer better clinical results with shorter treatment times while reducing discomfort and the need for more invasive therapies. The soft tissue laser beam has a natural sterilization effect—it evaporates bacteria, viruses and fungi, which leads to a decrease in local infections. Another great benefit of soft tissue lasers is the decrease in post-operative pain by sealing nerve endings.
Laser treatment can be combined with traditional surgeries or as a stand-alone treatment. This desicion Is made based on the type and extent of the periodontal disease
Expertise in advanced dental treatments using laser technology.
Minimal discomfort and faster recovery for patients.
Comprehensive care in a state-of-the-art facility.
Focused on enhancing patient comfort and long-term oral health.
Why Choose Dentzania dental care for Laser Dentistry in Goregaon east Mumbai?
Cutting-Edge Dental Technology at Dentzania
Happy Patients
Smiles Crafted
Years of experience
Soft tissue diode lasers are also used for :
Removal of excess gums around wisdom tooth
Often can be used with just topical gel without a ‘needle’. Areas would include excess gum growth over wisdom teeth, increase of growth of gums due to certain medications, and sometimes gums growing over or up to orthodontic brackets.
Removal of frenum / frenectomy
A frenum is a fold in your mouth that restricts or secures movement of a mobile organ. For example, your lingual frenum is located at the base of the tongue. If this frenum is long and secures your tongue to the floor, you could be “tongue tied” and the laser could alleviate this to a more appropriate length so your speaking would be improved ie, soft-tissue-laser-tongue-tie correction in Goregaon East, Mumbai
Faster healing of teeth extraction sockets
Abscess or gum boil can be disinfected by the laser for faster healing usually without any local anesthetic
Treatment of cold sores and ulcers in the mouth
Soft tissue laser can be applied to a cold sore to speed up healing time and to alleviate pain.
Best Laser Gum Treatments In Goregaon, Mumbai
Dentzania: Excellence with Laser Dentistry
At Dentzania dental we prioritize patient care by adopting the latest advancements in dental technology. Led by Dr. Ekta kukreja, a specialist known for delivering precise and compassionate care, our clinic offers cutting-edge laser dentistry services.
Experience Gentle & Effective Gum Care Today !
Now it's time to Say goodbye to the fear of painful dental procedures and embrace the comfort and precision of laser dentistry. Take the first step toward healthier teeth and gums at Dentzania Dental Clinic.
