Unattractive Smile
Fix an Unattractive Smile in Goregaon East, Mumbai | Smile Makeovers at Dentzania
Do you feel self-conscious about your smile? Whether it’s discolored, crooked, chipped, or uneven teeth, an unattractive smile can affect your confidence and how others perceive you.
At Dentzania, we specialize in customized smile makeovers that bring back the beauty of your smile—and your self-esteem.
Don’t let an unattractive smile hold you back! Dentzania in Goregaon East offers smile makeovers, veneers, braces & whitening for a confident, radiant smile. Book today!
Transform Your Unattractive Smile into a Confident One
Book an Appointment NowWhat Makes a Smile Unattractive?
An unattractive smile may be caused by:
- Yellow or stained teeth
- Crooked or crowded teeth
- Gaps between teeth
- Chipped, broken, or worn teeth
- Uneven gum line or a gummy smile
- Missing or misaligned teeth
Our Smile Makeover Solutions
At Dentzania, we combine art and advanced dental science to give you a smile you’ll love. Your treatment plan may include:
1. Teeth Whitening – Brighten stained or dull teeth

Safe, effective, and instant whitening to boost your smile's brilliance.
2. Dental Veneers – For a perfect smile

Ultra-thin ceramic shells or composite bondings that cover imperfections like chips, gaps, or uneven teeth.
3. Orthodontic Treatments – Straighten crooked teeth

We offer metal braces and invisible aligners for all ages.
4. Gum Contouring – Reshape your gum line

Correct a gummy or uneven smile with gentle laser treatment.
5. Composite Bonding – Quick fix for minor flaws

Affordable and effective for chipped or gapped teeth
6. Smile Design Consultation

We design your new smile and show you the results before beginning treatment.
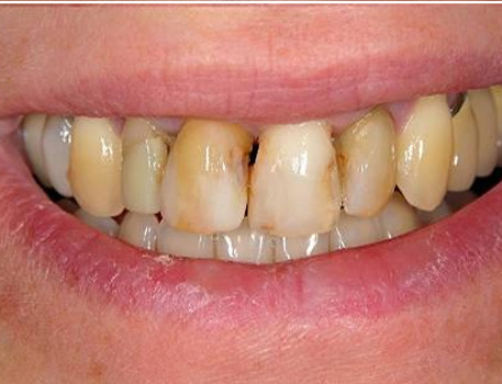
Book an Appointment NowBefore / After
Frequently Asked Questions (FAQs) – Unattractive Smile
- Tooth discoloration or staining
- Crooked or crowded teeth
- Gaps between teeth
- Worn-down or chipped teeth
- Gum disease or uneven gum line
- Missing teeth
- Ill-fitting old dental work
- Teeth Whitening – For bright, stain-free teeth
- Dental Veneers & Crowns – To correct shape, size, and color
- Aligners & Braces – For straightening teeth
- Gum Treatments – For healthy and well-shaped gums
- Dental Implants & Bridges – To replace missing teeth
- Full Mouth Rehabilitation – For a complete smile makeover
Expert Cosmetic Dentist:
Led by Dr. Ekta Kukreja, experienced in aesthetic smile transformations.
Customized Smile Plans:
Tailored to your face shape, personality, and preferences.
Modern Technology and best materials:
we offer cad cam generated veneers and caps , advanced smile design , intraoral scanners, and pain-free care. We use the best and high quality materials from the US and Germany ( 3 M , GC , Shofu etc )
Affordable Packages:
Flexible pricing options for all budgets.
Why Choose Dentzania for Your Smile Makeover?
Real Smiles, Real Confidence !
Hundreds of happy patients have experienced life-changing results with Dentzania’s cosmetic dentistry. Your dream smile is just one consultation away!
Book an Appointment NowCutting-Edge Dental Technology at Dentzania
Happy Patients
Smiles Crafted
Years of experience
