Cavity Fillings
Cavity Fillings
Restore Your Tooth. Protect Your Smile.
At Dentzania, we understand how important it is to catch and treat tooth decay early.
Our tooth-colored cavity fillings are a simple, painless, and effective way to restore damaged teeth and prevent further decay — all while preserving the natural look of your smile.
What is a Cavity Filling?
A filling is a dental procedure that removes decayed portions of the tooth and replaces them with a durable material to restore its shape, function, and strength.
At Dentzania, we use aesthetic, tooth-colored (composite) fillings that blend beautifully with your natural teeth.
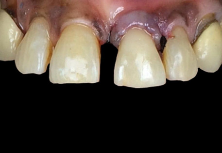
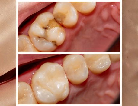
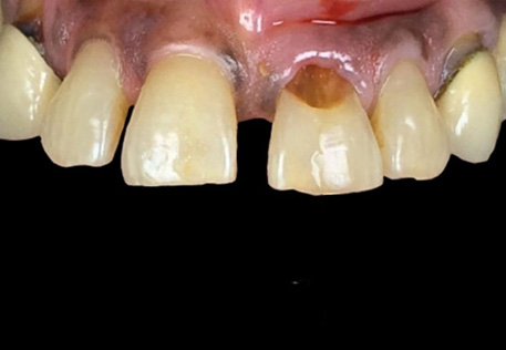
Before / After
Frequently Asked Questions
Gentle, pain-free dentistry
Advanced materials and techniques
Experienced dentists for all age groups
Comfortable clinic setting in Goregaon East, Mumbai
Why Choose Dentzania?
Protect Your Smile Today
Whether you're cavity-prone or just want extra protection, fluoride treatment is a simple way to keep your teeth strong and healthy for years to come.
Book your appointment at Dentzania today and give your smile the strength it deserves.
Cutting-Edge Dental Technology at Dentzania
Happy Patients
Smiles Crafted
Years of experience
More about cavity fillings
The procedure for a dental filling is used to repair minor fractures or decay in the teeth, as a form of restorative dental treatment.
A dental filling can help to even out the surface of the tooth and improve the function of the jaw for biting and chewing. Many patients with tooth decay also suffer from sensitivity of the teeth due to loss of enamel, which can also be improved significantly with the placement of a dental filling.
Signs You May Need a Filling
- Toothache or sensitivity
- Visible holes or dark spots on your tooth
- Food getting stuck in the same spot
- Pain when chewing or biting
- Worn or chipped teeth
How the Filling Procedure Works
Consultation and Planning
First, it’s important to inspect the teeth to decide upon the best course of action for the patient. A dental filling is best suited for minor fractures and decay; for more severe cases other types of restorative dental treatment, such as a dental crown or implant, may be necessary.
A dentist can examine teeth with a dental probe and caries detecting liquid to investigate problematic areas. An X-ray may also be used to determine more precise information regarding the location and severity of the decay.
There are several options of materials suitable for a dental filling to fill and seal a cavity, helping to halt any further damage to the tooth, which might result from decay. For example, the material used for the filling, such as direct composite bonding, porcelain, glass ionomer etc . The appropriate choice will depend on the specific factors such as where the cavity is located and the patient’s medical history, aesthetic needs, financial availability and preference.
At Dentzania we help you choose the best suited option for you, as per your needs and preferences.
The Procedure
1.Local anaesthesia if required
The first step in the dental filling procedure is to administer a local anaesthetic if required ( usually for deep decays ) so that the area around the affected tooth becomes numb, increasing the comfort of the patient throughout the procedure.
2.Decay removal and tooth preperation
Next, the decayed or damaged tooth and its surrounding areas is gently removed and tooth is prepared for restoration. A dental airoter is usually used to remove the damaged parts of the tooth.
3.Tooth conditioning with medicated gel
A gel is used to cleanse the area to remove any remaining bacteria or debris. The filling material is then applied to the area to fill the cavity
4.Filling Placement
A composite / Gic / suggested filling material is applied and hardened with a special curing light.
5.Finishing Touch
The filling is shaped, polished, and adjusted to ensure a perfect bite.
Why Choose Tooth-Colored Fillings?
Natural appearance – Matches your existing tooth shade
Strong and long-lasting – Resistant to wear
Safe and mercury-free – No metal or silver amalgam
Minimally invasive – Preserves more of your natural tooth
Don't ignore tooth pain or sensitivity. !
Treating cavities early can save your tooth and prevent more expensive treatments later.
Book your consultation today at Dentzania!
