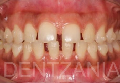
Gaps in Teeth
Is a Gap Between Your Teeth Affecting Your Confidence?
Treat teeth gaps effectively with expert treatments at Dentzania!
If you’ve been feeling self-conscious about a gap between your teeth, know that you’re not alone. Many people find that closing the gap not only improves their smile but also boosts their confidence.
Don’t let the space between your teeth hinder your self-confidence any longer!
Our skilled professionals provide expert treatments, utilizing advanced techniques such as dental bonding, veneers, or orthodontic solutions to close the gaps and create a seamless smile.
Book an Appointment Now
Get a smile that is customised just for you keeping in mind your expectations and preference. Schedule your consultation today and embark on a journey towards a flawless smile.
With effective teeth gap treatments available at Dentzania Dental Care in Gorgaon east, Mumbai, finding the right solution has never been easier.
Whether you’re looking for a quick fix or a permanent solution, here’s everything you need to know about treating a teeth gap, from options like bonding and braces to commonly asked questions about the process.
What Causes a Gap Between Teeth?
A gap between teeth, especially between the front teeth (called a diastema), can develop for various reasons:
- Genetics: Gaps can be inherited.
- Childhood Habits: Thumb-sucking or prolonged pacifier use can create gaps.
- Missing or Misaligned Teeth: These can cause surrounding teeth to shift, creating gaps.
- Gum Disease: Advanced periodontal issues can weaken the bone and tissues supporting the teeth, leading to gaps.
Teeth Gap Filling Solutions in Goregaon east Mumbai
If you’re searching for teeth gap filling services in Goregaon east , Mumbai, dentzania dental offers a variety of options tailored to meet your needs, budget, and lifestyle.
1. Dental Bonding for a Quick Fix

For small gaps, dental bonding is a popular choice. During this procedure, a tooth-colored resin is applied to the gap area, shaped, and hardened. It’s a non-invasive treatment that can often be completed in a single visit at dentzania dental
Dental bonding is generally painless, and anesthesia is rarely required.
Teeth Gap Filling Cost in mumbai: Bonding is one of the more affordable options, and Dr. Ekta Kukrejas Dentzania offers transparent pricing to help you plan for treatment.
2. Dental Veneers for a Lasting Solution

Veneers are thin, custom-made shells that cover the front surface of your teeth, closing the gap and improving the overall appearance. They’re durable and long-lasting, making veneers a good option for those seeking a permanent teeth gap solution.
Durability: Veneers are known for their longevity and resistance to stains.
Cost: Veneers can be more of an investment than bonding, but they offer a reliable, attractive solution for those serious about transforming their smile.
3. Braces for Teeth Gap: A Trusted Solution

For larger gaps or issues with alignment, braces may be the best option.
At Dentzania, we provide a variety of braces options to help close gaps and straighten teeth over time, delivering lasting results.
Types of Braces for Gap Teeth: Options include traditional metal braces, ceramic braces, and clear aligners like Invisalign, all effective for closing gaps and aligning teeth.
Treatment Duration: Braces can take from 12 to 24 months, depending on the size of the gap and the overall alignment needs.
Permanent Teeth Gap Filling: Braces offer a long-term solution by moving the teeth into their ideal positions.
4. Invisible Aligners for a Subtle Transformation

For those who prefer a less noticeable approach, clear aligners are a popular choice. Custom-fitted to gently shift your teeth, aligners are removable, making them a convenient option for gap treatment.
Comfort and Convenience: Aligners are transparent and removable, allowing for easy cleaning and eating.
Treatment Time: Depending on the gap, aligners can close the space in 6-18 months.
Book an Appointment NowBefore / After
Frequently Asked Questions (FAQs) – Teeth Gap Treatments
Considering teeth gap filling often comes with questions. Here are some common concerns:
Choosing dentzania advanced Dental Care for Gap Treatment in Goregaon east, mumbai
At dentzania advanced Dental Care, our team is dedicated to providing world class treatments with a patient-centric approach. We offer a wide range of teeth gap solutions in Goregaon east mumbai, from quick, non-invasive fixes to advanced, permanent solutions. Our team of experienced dentists takes time to understand your needs and create a treatment plan tailored to your goals.
Tips for Maintaining Your Smile After Treatment
After completing gap treatment, it’s important to keep your smile in top shape:
- Oral Hygiene: Daily brushing and flossing help prevent decay and maintain results.
- Routine Check-Ups: Regular follow up visits to ensure your teeth remain in good condition.
- Using Retainers (if recommended): If you’ve used braces or aligners, wearing retainers can help maintain the new alignment of your teeth.
Ready to Close the Gap?
No matter the cause or size of your teeth gap, there’s a solution to help you smile with confidence. Whether you’re interested in a quick fix or a long-term solution,
Dentzania advanced dental care in Goregaon east , Mumbai , offers expert advice and reliable treatments. Take the first step toward closing the gap and boosting your confidence by scheduling a consultation with us. With effective solutions within reach, you can enjoy a smile that’s both beautiful and confident.
Cutting-Edge Dental Technology at Dentzania
Happy Patients
Smiles Crafted
Years of experience
