Dental Implants
Dental implants in Goregaon East Mumbai
Restore your smile and function with dental implants!
Are you missing a single tooth or multiple teeth ? Don’t let missing teeth hold you back!
Dental implants, with their natural appearance and permanent placement ensure a long lasting investment in your oral health. Enjoy your favourite foods without restrictions and experience the comfort of fixed teeth with dental implants ! Reclaim your smile and oral health with dental implants, and say goodbye to the hassle and discomfort of traditional dentures.
Implants feel the closest to your natural tooth and are the best option for replacing a missing tooth or multiple teeth.
Patients no longer need to settle for temporary, low-quality options such as dentures, bridges, or partials. Dental implants have become the gold standard in tooth replacement, functioning and feeling like natural teeth, with an average lifespan of over 20 years.
In contrast, traditional options like bridges or dentures typically require replacement every 7 to 10 years, leading to significant costs over time. Implants provide a long-lasting solution for those seeking the highest quality of life !
At Dentzania we place highest quality implants with CAD CAM generated 3D stents to maximise the accuracy and precision and minimise discomfort!
Before / After
Frequently Asked Questions
Benefits of Implant Treatment
There are several benefits to choosing clear aligners over traditional braces, including:
Restored Function
dental implants provide a stable foundation, closest to your natural tooth, allowing you to enjoy a diverse range of foods without restrictions or discomfort. Also, replacing the tooth with dental implants in time prevents loss of jaw bone and space and avoids future complications
Improved Aesthetics
These implants closely resemble natural teeth, seamlessly blending with your existing smile and restoring your confidence in a visually appealing manner.
Long-Term Durability
With proper care, multiple tooth dental implants can last a lifetime, providing a reliable and permanent solution for replacing missing teeth.
Preserved Oral Health
Implants help maintain the integrity of your jawbone and adjacent teeth by preventing bone loss and preserving the natural alignment of your teeth.
Convenient:
With clear aligners, you'll have fewer visits to the orthodontist compared to traditional braces, saving you time and hassle.
High quality implant treatment
At Dentzania with our expert team, we specialize in providing high-quality treatments that can help you achieve the smile you've always wanted ! We use the best implant systems and cad cam generated guides for precise placement of dental implants
State of the art technology and expert team
We utilise advanced dental technology for precise diagnosis and treatment planning, which along with our highly qualified expert team ensures superior outcomes.
Personalised care
Each patient receives personalised attention and a customised treatment plan designed to achieve their desired smile goals
Patient-Centred Approach
The team at DENTZANIA prioritises patient comfort and satisfaction, providing a welcoming environment and compassionate care throughout the treatment journey and beyond !
Why Choose us for Implant Treatment?
Cutting-Edge Dental Technology at Dentzania
Happy Patients
Smiles Crafted
Years of experience
Dental implants in Goregaon East Mumbai
Losing a tooth is traumatic and challenging as it affects Aesthetics, function and many times profession too ! Tooth loss can happen because of gum disease, tooth decay or trauma. Replacing teeth you’ve lost can reduce your risk for future oral health issues like bone loss, shifting teeth and further tooth loss. Replacing a tooth gives you the best chance for long-term oral health. Dentists can treat tooth loss with dental implants , bridges or dentures
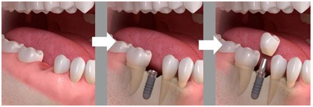
A dental implant replaces your missing tooth root. Then, a crown is attached to the top of the implant. Dental implants are the closest thing to natural teeth, and they last longer than any other replacement!

One of the significant benefits of dental implants is their long term durability. With proper care, these implants can last many years, often for the rest of your life. This makes them a worthwhile investment compared to other options. The new tooth placed on top of the implant, known as a crown, looks and functions just like a natural tooth. This is a major advantage over removable dentures. While they can be effective, dentures often need to be removed for cleaning. They can feel less stable than implants.
Healthy gum tissue is crucial for the success of dental implants. Periodontal disease affects the gums and supporting structures of your teeth. These could impact the success of the implants. Periodontal disease can cause your gums to become swollen, red, or bleed. This can undermine the stability of the implant. Hence, treating gum disease before implant placement is important for a healthy outcome.
There are different types of dental implants available depending on your specific needs.
Types of Dental Implants :
| CONVENTIONAL IMPLANTS | IMMEDIATE IMPLANTS | IMMEDIATE LOADED IMPLANTS |
| Conventional implants are applicable to almost anyone who is looking to replace single, multiple, all missing teeth with a permanent solution. restoration | Immediate implants are also known as one day or same day implants. | Immediate loaded implants are whereby permanent or temporary crowns,bridges or dentures are placed during the same trip when the dental implant posts is embedded in jaws. |
| Conventional implants are done in 2 stages normally in 2 trips about 3 to 6 months apart. | This is the case whereby dental implants is placed during the same time after teeth are extracted. Crowns, bridge, dentures may or may not be placed on during same trip depending on whether immediate loaded implants may be done. | Immediate loaded implants may follow after conventional implants or immediate implants. |
| Conventional implants may be done for most types of bone conditions. If there is moderate or severe jaw bone loss, bone grafting may be recommended prior to dental implantation. | Immediate implants are normally recommended only for cases with good jaw bone conditions. | Immediate loaded implants are normally recommended only for cases with good jawbone |
Dental Implant treatment procedure | Dental Implants Mumbai
This procedure normally includes four visits to the dentist. You should expect to be able to work the day after having the implant surgery – Multiple Teeth Implants Mumbai
- 1st Appointment: Consultation & Treatment planning:

The dentist examines clinically and takes one or more x-rays of the area to decide the treatment plan. Cbct is most of the times essential for a 3D view of your jaw and implant planning . After all the required scans and information, a tailored treatment plan is curetted for your specific needs and clinical situation - 2nd Appointment: Surgical Phase:

The dentist does the implant surgery along with bone grafting or any other additional procedure if required. The implant takes 3-4 months to integrate to the bone. - 3rd Appointment: Prosthetic Phase:

The implants are exposed & healing caps are placed. After a week or so impression for final crowns is made. - 4th Appointment: Final Crown :

Depending upon patient’s choice, the material of the crown is chosen Zirconia or PFM and it is fabricated.
Dental implants can also provide a strong foundation for permanent or removable prosthesis (replacement teeth) that are made to match your natural teeth. They are manufactured from biologically neutral pure Titanium or titanium alloys,that is accepted by the human body and these implants fuse with the jawbone to form a secure foundation for tooth replacement.
At Dentzania we provide :
1. Single tooth Implants:
Restoring individual missing teeth with accuracy and attention to detail.
2. Implant Retained Bridges:
Providing an effective solution for patients missing multiple consecutive teeth. An implant-supported bridge is similar to a regular dental bridge, but it is supported by implants and not by natural teeth. In most cases, when an implant-supported bridge is used, one implant is placed in the jawbone for each missing tooth. Then the crowns are connected to each other to form one piece.
3. Implant Retained Dentures:
Delivering dentures that securely attach to dental implants for enhanced stability and comfort. A regular denture rests on the gums and is not supported by dental implants . Implant supported dentures offer more stability and comfort specially in the lower jaw , where a regular denture may cause discomfort due to movement and lack of support
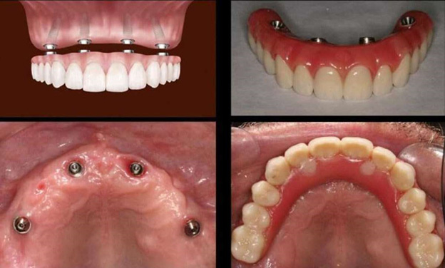
4. All-On-X™ Treatment (Teeth in a Day), full mouth implants :
Fullarch restoration using 4 /6 or multiple implants with durable prosthesis crafted to last over 20 years.
5. Basal Implants (IHDE Implants System) fixed teeth in 3 days ( 72 hours )
This Swiss-based system breaks through the limitations of conventional dental implant systems and allows placement of implants even where minimal bone is present. It takes into account that every case is different. Therefore, nobody can be denied implants on grounds of insufficient bone. Using this system , patients with insufficient or no bone for regular implants can be given fixed permanent teeth !
The use of dental Implants in mumbai to replace missing teeth is an excellent decision routinely recommended by Dentists of today, since this is helpful in maintaining oral health and appearance. Dental implants are now the standard of care for missing teeth. Better than crown and bridge, they look, feel and function like natural teeth. They help prevent bone loss caused by a missing tooth root and do not require the adjacent teeth to be ground down.
After-Care for Dental Implants:
- Follow the prescription given by your dentist.
- Intermittent ice packs would help in reducing the swelling if there is
- It is advisable that you refrain from smoking until the wound has fully healed because it severely hinders oral healing.
- Avoid alcohol, hot food, hot liquids, and carbonated beverages for 48 hours.
- Start brushing your teeth carefully after meals the day following surgery.
- We advise using a water flosser to help remove the plaque more effectively.
Cost Of Dental Implants in Mumbai
The cost of dental implants in Mumbai is a significant consideration for many. The implant cost overall depends on many factors, like the type of implant system opted for, the technology, expertise etc.
At Dentzania, We offer competitive pricing without compromising on quality. We ensure that you receive a great value for your investment in your smile ! At Dentzania, we will make a complete assessment based on your unique needs and clinical examination and serve you options for variable budgets to suit your needs ! Compared to implant costs in Mumbai , Dentzania dental care offers affordable implant treatment.
Ultimately, dental implants are about enhancing your quality of life. We have a team dedicated to your long-term satisfaction.
Reach out to us for a check-up to explore how dental implants can benefit you. After that, we can discuss any questions you might have about the procedure.
