Pain in the Gums
Gum Pain Treatment in Malad East, Mumbai
Don’t Ignore Pain in Your Gums – Get Expert Care at Dentzania
Are you experiencing swollen, sore, or bleeding gums? Gum pain is a common dental concern, but it can be a sign of underlying gum disease or infection.
At Dentzania, we provide expert diagnosis and advanced treatments to relieve gum pain and protect your oral health.
Common Causes of Gum Pain
Gum pain can result from a variety of reasons, including:
- Gingivitis (early gum disease)
- Periodontitis (advanced gum disease)
- Advanced pulpal or tooth Infection
- Injury or irritation from brushing/flossing
- Mouth ulcers or canker sores
- Impacted wisdom teeth
- Vitamin deficiencies (especially Vitamin C)
- Poor-fitting dentures or braces
- Hormonal changes (pregnancy or menopause)
Symptoms to Watch For
- Red, swollen, or tender gums
- Bleeding while brushing or flossing
- Receding gum line
- Persistent bad breath
- Pain while eating or touching the gums
- Pus or abscess near the gum line or below the tooth on the gums
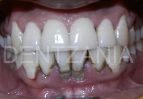
Before / After
Frequently Asked Questions (FAQs) About Gum Pain
Gum Pain Treatment Options at Dentzania
Professional Dental Cleaning (Scaling & Polishing)
Removes plaque and tartar build-up causing gum irritation and gingivitis.
Deep Cleaning (Root Planing & Curettage)
Recommended for gum infections and periodontitis to clean below the gumline.
Treatment of tooth infection
When the tooth pus drains through the gum ( gum boil ) and the tooth needs a treatment ( a nerve treatment in most cases )
Laser Gum Treatment
Painless and precise treatment for inflamed or infected gums with faster healing.
Medication & Topical Gels
Antibiotic rinses, anti-inflammatory gels, or vitamin supplements based on the cause.
Surgical Gum Treatment
For severe cases, flap surgery or gum grafts may be needed to restore gum health.
Expert periodontal care with our gum expert – Dr. Ekta Kukreja
Modern equipment and laser technology
Personalized care with long-term results
Friendly staff and comfortable environment
Affordable and transparent pricing
Why Choose Dentzania for Gum Pain Relief?
At Dentzania, we combine compassion with cutting-edge care to provide fast and lasting relief from gum pain. Here’s why patients trust us:
Cutting-Edge Dental Technology at Dentzania
Happy Patients
Smiles Crafted
Years of experience
