Treatment of Receding Gums
Gum Recession Treatment at Dentzania: Restore Your Healthy Smile
Save Your Teeth by Treating Receding Gums Early !
Gum recession is a common dental problem where the gum tissue pulls away from the teeth, exposing the roots. This can lead to tooth sensitivity, increased risk of decay, and even tooth loss if left untreated.
At Dentzania, we offer advanced, minimally invasive treatments to restore your gum health and protect your smile.
What Causes Gum Recession?
Symptoms of Gum Recession
- Tooth Sensitivity (especially to hot or cold foods)
- Exposed Tooth Roots
- Gums Appearing Thinner or Pulled Back
- Loose Teeth in severe cases
- Increased Risk of Cavities & Decay
Dentzania’s Advanced Gum Recession Treatments
At Dentzania, we offer cutting-edge treatments to stop gum recession, restore lost tissue, and prevent further damage:
1. Laser Gum Therapy (LANAP)
We use advanced dental lasers to remove bacteria, stimulate gum regeneration, and enhance healing—offering a pain-free, minimally invasive solution.
2. Biocompatible fillings
We use advanced fillings that are Tooth or Gum colored, to seal the root exposed due to gum recession.
3. Pinhole Surgical Technique (PST)
A revolutionary stitch-free procedure where gums are gently repositioned to cover exposed roots, providing a faster and natural-looking recovery.
4. Gum Grafting
We also perform soft tissue grafting to restore lost gum tissue
5. Deep Cleaning & Scaling
We remove plaque, tartar, and bacteria from below the gumline to stop further recession and allow the gums to heal.
6. Full Mouth Rehabilitation (If Needed)
For extensive gum damage, we provide a customized treatment plan that may include crowns, bridges, and dental implants to restore both function and aesthetics.
Before / After
Frequently Asked Questions – Gum Recession Treatment at Dentzania
Benefits of Gum Recession Treatment
Healthier Gums, Stronger Smile !
Treating gum recession not only improves the look of your smile but also protects your teeth and gums from future damage !
At Dentzania our experts provide customised treatment plans to treat receding gums
Stops Further Gum Loss
Treatment halts the ongoing recession and protects your gums from worsening.
Reduces Tooth Sensitivity
Covered roots become far less sensitive to hot, cold, sweet, or touch.
Protects Tooth Roots From Decay
Exposed roots are softer and more prone to cavities—treatment shields them.
Improves Gumline Appearance
Restores a natural, even gum contour for a healthier, more aesthetic smile.
Strengthens Gum Attachment
Procedures like grafting or laser therapy rebuild support around teeth.
Prevents Tooth Mobility and Tooth Loss
Healthy, stable gums help maintain strong foundation for your teeth.
Enhances Overall Oral Health
Reduces inflammation, prevents gum disease progression, and promotes long-term dental stability.
Boosts Confidence While Smiling
A fuller gumline improves smile aesthetics and eliminates "long teeth" appearance.
Promotes Better Brushing Comfort
With reduced sensitivity and healthier gums, patients find oral hygiene easier.
Minimally Invasive & Laser-Based Treatments
Faster healing, no stitches
Expert Dental Team
Specialized periodontists for precision care
State-of-the-Art Technology
Latest advancements in gum restoration
Customized Treatment Plans
Tailored solutions for long-term oral health
Why Choose Dentzania for Gum Recession Treatment?
Cutting-Edge Dental Technology at Dentzania
Happy Patients
Smiles Crafted
Years of experience
Don’t let gum recession compromise your smile! Contact Dentzania today for expert evaluation and cutting-edge treatment to restore your gum health.
More about Gum Recession
Gum recession denotes gum disease where the gum tissue withdraws from the teeth, uncovering the roots beneath. It increases the susceptibility of teeth to cavities and can lead to heightened tooth sensitivity during brushing and eating. One or multiple teeth may be involved. While gum recession can impact individuals of all age groups, it is more common in people over 65.
Symptoms
Symptoms of Gum Recession
Visible Tooth Roots: One of the primary signs is the exposure of tooth roots as the gum line recedes
Discomfort: you may have discomfort or pain in the vicinity of your gum line.
Sensitive Teeth: Increased sensitivity to hot /cold and sweet in the affected teeth. Increased sensitivity when brushing and flossing or during professional teeth cleanings.
Bleeding Gums: Gums might bleed during brushing or flossing.
Longer Teeth: Teeth may appear longer than usual due to the recession of the gums.
Loose Teeth: In severe cases, teeth might feel loose or become misaligned.
When to see a dentist
Usually, you should see your dentist for dental cleaning twice a year. If you observe any of the above symptoms, promptly see your dentist for treatment. Left untreated, gum recession can lead to other serious oral health complications such as loss of bone and tooth, tooth mobility, food impaction, and root caries.
Causes
- Genetic thin gum tissue.
- Aggressive brushing techniques.
- Accumulation of dental plaque or tartar from poor oral hygiene.
- Presence of periodontal disease.
- Misalignment of tooth structure.
- History of braces or other orthodontic treatments.
- Tobacco chewing or smoking.
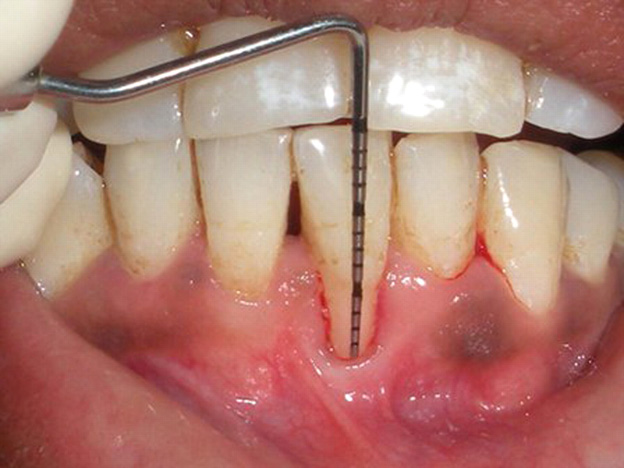
Diagnosis
A routine dental examination can identify and uncover gum recession. The dentists will utilize a specialized instrument known as a periodontal probe to measure and assess the depth of periodontal pockets surrounding each tooth. Individuals with healthy gum have these pockets measured between 1 and 3 millimeters. Those with gingivitis may have these pockets at around 4 millimeters. However, those with periodontal disease may have pockets deeper than 5 millimeters. People with gum recession usually have accompanied bone loss.
Treatment
While gum recession is irreversible, prompt treatment can effectively halt its progression and prevent further deterioration. The approach to treating receding gums depends on the underlying cause. Mild cases may benefit from nonsurgical treatments like topical application, dental bonding, or orthodontics. However only a gum recession surgery may be able to cover the lost gum tissue.
At Dentzania, we believe your gums are the foundation of a healthy, confident smile. With advanced techniques, gentle care, and expertise in gum health, we ensure effective, minimally invasive treatment for gum recession—restoring both function and aesthetics. Whether your concern is sensitivity, exposed roots, or a changing smile line, our personalised approach focuses on long-term results and prevention. Because at Dentzania, your smile is important to us—right down to the gums.
