Implant Supported Dentures
Implant-Supported Dentures at Dentzania
Secure. Comfortable. Confident!
If your traditional dentures feel loose, uncomfortable, or affect your ability to chew or speak, implant-supported dentures offer a game-changing solution. At Dentzania, we combine the latest in implant technology with personalized care to restore your smile, bite strength, and confidence.
Implant supported dentures are anchored securely to dental implants placed in your jawbone, offering unmatched stability compared to traditional removable dentures. Whether you need full or partial tooth replacement, implant-supported dentures provide a long-lasting, natural-looking alternative.
At Dentzania, we believe every patient deserves the confidence of a strong, natural-looking smile. Implant-supported dentures offer unmatched comfort, stability, and aesthetics compared to traditional options. With expert care, advanced technology, and a patient-first approach, we ensure your treatment is tailored to restore not just your teeth, but your quality of life.
Take the first step towards secure, worry-free chewing, speaking, and smiling—because at Dentzania, your smile is important to us.
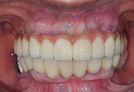
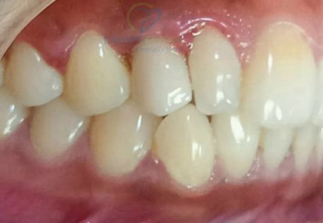
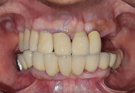
Before / After
Frequently Asked Questions
Benefits of Implant-Supported Dentures
Superior Stability
No more shifting or slipping while talking or eating
Improved Chewing Power
Enjoy your favorite foods without worry
Bone Preservation
Implants stimulate your jawbone and prevent bone loss
Natural Look and Feel
Customized to blend seamlessly with your smile
Long-Term Solution
Durable and cost-effective in the long run
No Adhesives Required
Eliminate the hassle of messy denture glues
Specialized Team
Expert implantologists and prosthodontists under one roof
Advanced Technology
Intraoral scans, guided surgery, and premium implant systems
Customized Solutions
We tailor every case based on your bone health, budget, and smile goals
Comfort-Focused Care
Patient comfort and satisfaction are our top priorities
Trusted by Patients
Excellent reviews and real-life smile transformations
Why Choose Dentzania for Implant Dentures?
Schedule a consultation today and find out if implant-supported dentures are right for you.
Book an Appointment NowCutting-Edge Dental Technology at Dentzania
Happy Patients
Smiles Crafted
Years of experience
More about implant supported dentures
Implant-Supported Dentures
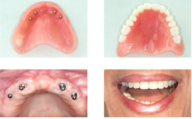
Unlike traditional dentures, implant-supported dentures anchor directly to your jawbone using dental implants. As a result, they offer more stability for chewing and speaking. There are removable and nonremovable implant-supported denture options, depending on your needs.
Implant-supported dentures attach to dental implants in your jaw, offering more stability compared to traditional dentures.
What are implant-supported dentures?
An implant-supported denture is an oral appliance that replaces several teeth at once. It’s similar to a traditional denture. But instead of resting on top of your gums, an implant-supported denture attaches directly to your jawbone using dental implants. Dental implants are tiny threaded posts that replace missing teeth roots. Implant-supported dentures offer improved stability for chewing, eating and speaking .
Removable implant-supported dentures
This type of denture “snaps on” to dental implants in your jawbone. It stays securely in place until you’re ready to remove it.
With this option, you can take your dentures out every day for easy cleaning.
Fixed implant-supported dentures
A fixed denture — sometimes called a hybrid denture — attaches permanently to dental implants in your jawbone. You can’t remove it at home, but your dentist can remove it for maintenance when necessary.
See All on X / Dental implants for more
With this option, you can’t take your dentures out to clean them. You’ll brush them just like natural teeth, and you can clean underneath them using floss threaders, interproximal brushes and other special cleaning tools.
