Pyorrea
Pyorrhea (Periodontitis) Treatment at Dentzania: Restore Your Gum Health
Pyorrhea, also known as periodontitis, is a severe gum infection that can lead to tooth loss and other serious health complications if left untreated.
At Dentzania, we specialize in advanced, painless, and effective treatments to restore your gum health and protect your smile.
Book an Appointment Now
What Causes Pyorrhea?
Pyorrhea is primarily caused by poor oral hygiene, leading to plaque buildup and bacterial infections. Other risk factors include:
- Smoking and Tobacco Use
- Diabetes and Other Systemic Diseases
- Hormonal Changes (Pregnancy, Menopause, etc.)
- Genetic Predisposition
- Nutritional Deficiencies
Signs & Symptoms of Pyorrhea
If you experience any of the following, you may need immediate treatment:
- Bleeding gums while brushing or eating
- Persistent bad breath (halitosis)
- Swollen, red, or receding gums
- Pus formation between teeth and gums
- Loose or shifting teeth
Dentzania’s Advanced Pyorrhea Treatment Options
At Dentzania, we use the latest technology and expertise to stop gum disease and restore oral health with the following treatments:
1. Deep Scaling & Root Planing
Our advanced deep cleaning process removes plaque, tartar, and bacteria from below the gumline to stop infection and allow gums to heal.
2. Antibiotic Therapy
We apply targeted antibiotic treatments to eliminate bacteria and speed up recovery.
3.Surgical gum therapy
Surgical gum therapy for pyorrhea (advanced periodontitis) involves cleaning deep pockets of infection, removing diseased tissue, and reshaping bone if needed to prevent further damage. This procedure helps control infection, reduce inflammation, and promote healing. It's essential for saving natural teeth when non-surgical treatments are not effective.
4.Laser Gum Therapy (LANAP)
As per the severity of case , we use minimally invasive dental lasers to remove infected tissue, kill bacteria, and promote natural healing—ensuring a pain-free, stitch-free recovery.
5. Gum Grafting & Regenerative Procedures
For severe gum recession, gum grafting helps restore lost tissue, improving both health and aesthetics.
6. Full Mouth Rehabilitation
For advanced cases, we offer comprehensive full-mouth restoration, including dental implants, crowns, and bridges, to restore function and beauty.
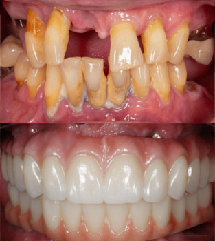
Before / After
Frequently Asked Questions (FAQs)
At Dentzania, we combine advanced technology with expert care to provide effective treatment for pyorrhea. Our goal is to restore your gum health, protect your natural teeth, and bring back your confident smile. Don’t ignore the signs—your smile deserves the best care.
Expert Periodontists & Dentists
Highly experienced specialists
Pain-Free, Laser-Based Treatment
Quick recovery, no surgery required
Personalized & Advanced Care
Tailored treatment plans for long-term gum health
State-of-the-Art Technology
Modern, safe, and effective dental solutions
Why Choose Dentzania for Pyorrhea Treatment?
Cutting-Edge Dental Technology at Dentzania
Happy Patients
Smiles Crafted
Years of experience
