What is Gum Disease ?
Gum Disease (Periodontal Disease)
Healthy Gums, Healthy Smile !
At Dentzania, we believe that a healthy smile begins with healthy gums. Gum disease, also known as periodontal disease, is a common but preventable condition that affects the tissues surrounding your teeth.
What is Gum Disease?
Gum disease is a bacterial infection caused by plaque buildup along the gumline. It starts as gingivitis—red, swollen, bleeding gums—and can progress to periodontitis, a more severe condition that can damage the bone supporting your teeth.
Signs You Shouldn’t Ignore:
- Bleeding gums while brushing or flossing
- Persistent bad breath
- Swollen, red, or tender gums
- Receding gums or longer-looking teeth
- Loose or shifting teeth
Why Treat It Early?
If left untreated, gum disease can lead to:
- Tooth loss
- Bone damage
- Increased risk of heart disease, diabetes, and other systemic health issues
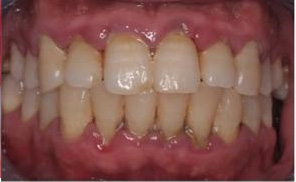
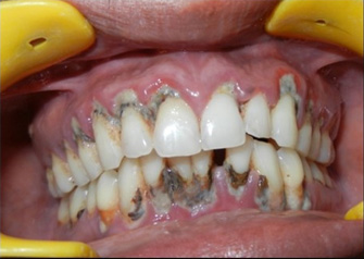
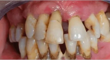
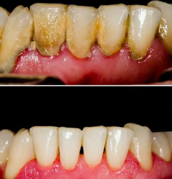
Before / After
Frequently Asked Questions – Gum Treatments
Expert Answers by Dr. Ekta Kukreja, Periodontist
- Brush twice a day and floss daily
- Visit your dentist regularly
- Avoid tobacco products
- Manage underlying conditions like diabetes
Benefits of Gum Disease Treatment
Healthier Gums, Stronger Smile
Treating gum disease not only restores your oral health but also improves your overall well-being. At Dentzania, our expert care helps you enjoy the many benefits of healthy gums:
Prevents Tooth Loss
Gum disease is the leading cause of tooth loss in adults. Timely treatment preserves your natural teeth and prevents shifting or bite problems.
Reduces Bad Breath
Persistent bad breath (halitosis) is often caused by gum infections. Treatment removes harmful bacteria, giving you fresher breath.
Stops Gum Bleeding and Swelling
Professional cleaning and therapy reduce inflammation, tenderness, and bleeding, bringing comfort and confidence back to your smile.
Strengthens Tooth Support
By removing plaque and tartar from beneath the gums, treatment halts bone loss and helps gums reattach firmly to teeth.
Improves Aesthetics
Healthy gums look pink, firm, and youthful. Receding or swollen gums are corrected, enhancing the overall look of your smile.
Enhances Overall Health
Research links gum disease to heart disease, diabetes, and more. Treating it reduces inflammation in your body and lowers health risks.
Boosts Confidence
No more bleeding, bad breath, or loose teeth. With healthier gums, you can smile, speak, and eat confidently.
Take the first step toward a healthier smile. Book your appointment today with Dr. Ekta Kukreja at Dentzania.
Expert Periodontal Care:
Dr. Ekta Kukreja is renowned for treating gingivitis, periodontitis (pyorrhea), swollen gums and other problems with precision and compassion.
Laser Gum Treatment:
Minimally invasive, pain-free procedures with faster healing and better results.
Comprehensive Diagnosis:
We use digital imaging and thorough gum assessments to create a customized treatment plan.
Patient-Centered Approach:
Your comfort and satisfaction are our priorities—we explain every step and ensure you're confident in your care.
Why choose us ?
Advanced Gum Treatments
Led by Dr. Ekta Kukreja, Periodontist, we offer comprehensive care for gum disease, including:
- Professional Cleaning (Scaling & Polishing)
- Deep Cleaning (Scaling & Root Planing)
- Laser-Assisted Gum Treatment
- Gum Surgery in advanced cases
Book an Appointment Now
Cutting-Edge Dental Technology at Dentzania
Happy Patients
Smiles Crafted
Years of experience
What is periodontal disease?
Periodontal disease — also called gum disease — refers to inflammation and infection of the tissues that support your teeth . Poor oral hygiene can result in gum disease. But some people are more prone to this condition than others are, even with proper brushing and flossing.
Periodontal disease stages
Healthy gums are firm to the touch. They don’t bleed or swell. But periodontal disease can cause discolored (reddish or purplish), swollen, bleeding. Left untreated, gum disease can cause destruction of your underlying jawbone, leading to possible tooth loss.
The breakdown of tissues around your teeth happens gradually. In fact, most people don’t experience pain with gum disease — especially during the early stages. So, it’s important to know the warning signs.
There are four stages of gum disease:
1. Gingivitis.

This is the earliest stage of gum disease. It starts with red, puffy gums that may bleed when you brush or floss. At this stage, there’s no bone loss. As a result, gingivitis is totally reversible with proper treatment.
2. Mild Periodontitis.

The bacteria have seeped beneath your gums, affecting the supporting bone. Your gums may pull away from your teeth, creating pockets around them. Plaque and bacteria like to hide in these pockets, where your toothbrush and floss can’t reach.
3. Moderate Periodontitis.

Left untreated, bacteria begin to erode the ligaments, soft tissues and bone that hold your teeth in place. You may notice bad breath and pus (infection) around your gum line. Some people develop pain at this stage.
4. Advanced Periodontitis.

As periodontal disease worsens, bone loss continues. This can cause your teeth to become loose and eventually fall out.
Treatment
The main goal of treatment is to control the infection. The number and types of treatments will vary, depending on the extent of the gum disease. Any type of treatment requires that the patient keep up good daily care at home. The dentist may also suggest changing certain behaviors, such as quitting smoking, as a way to improve your treatment results.
Helpful Tips
You can keep your gums and teeth healthy by:
- Brushing your teeth twice a day with a fluoride toothpaste.
- Flossing regularly to remove plaque from between teeth. Or, you can use a device such as an interdental (between-the-teeth) brush , a wooden or plastic pick, or a “water flosser” recommended by a dental professional.
- Visiting the dentist routinely for a check-up and professional cleaning.
- Quitting smoking.
Don't ignore the early signs of gum disease—bleeding gums, bad breath, and gum lead to tooth loss if left untreated.
At Dentzania, we combine expert care, advanced technology, and a patient-first approach to deliver lasting results. If you're searching for reliable and affordable gum disease treatment in Goregaon East, Mumbai, your search ends here.
Schedule your consultation today and let us help you regain your healthy, confident smile!
Give your smile the glow it deserves. Call us at 8850406457 or book online to schedule your consultation.
