Kids Dentistry
Kids Dentistry in Goregaon East, Mumbai | Gentle & Friendly Pediatric Dental Care
Strong Teeth Start Early—Give Your Child the Right Dental Foundation !
Looking for the best kids dentist in Goregaon East, Mumbai? Dentzania offers gentle, specialized pediatric dentistry with a caring approach.
Kids Dentistry at Dentzania – Because Your Child's Smile Deserves the Best!
At Dentzania, we understand that your child’s early dental experiences shape their lifetime oral health habits. Our dedicated kids dentistry services in Goregaon East, Mumbai, focus on making dental visits fun, educational, and completely stress-free.
Whether it’s your child’s first dental check-up or treatment for cavities, our expert team led by Dr. Ekta Kukreja ensures your little one receives the best possible care in a warm and child-friendly environment.
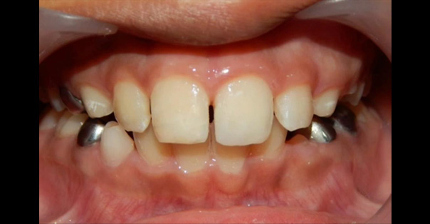
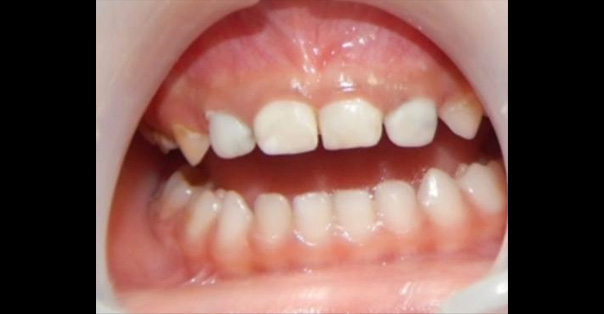
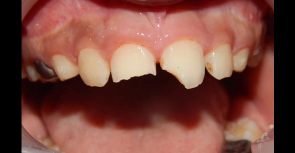
Before / After
Frequently Asked Questions (FAQs) – Child Dentistry
- Encourage regular brushing with fluoride toothpaste
- Limit sugary snacks and drinks
- Ensure proper flossing
- Schedule regular dental check-ups
- Consider dental sealants and fluoride treatments
What kids' dental treatments are available at Dentzania?
At Dentzania, we offer a full range of pediatric dental treatments including:
- Dental check-ups and cleanings
- Fluoride treatments
- Cavity fillings
- Pit and fissure sealants
- Root canal treatment for milk teeth (Pulpectomy)
- Space maintainers
- Orthodontic assessment
- Emergency dental care
Child-Centric Approach:
We speak your child’s language—fun, friendly, and reassuring.
Gentle Treatments:
From dental cleanings to cavity fillings, we use techniques that minimize discomfort and build trust.
Specialized Care:
Pediatric dental care needs a special touch—our team is trained to handle kids with care and patience.
Kid-Friendly Environment:
Bright, cheerful interiors and engaging dental tools to keep children calm and curious.
Parental Involvement:
We educate parents about preventive care, brushing techniques, and nutrition tips for healthy teeth.
Why Choose Dentzania for Pediatric Dentistry?
Cutting-Edge Dental Technology at Dentzania
Happy Patients
Smiles Crafted
Years of experience
Paediatric dental procedures include:
1.Dental examinations and cleanings
Regular dental checkups & cleanings are the cornerstone of preventive pediatric dental care. It’s recommended to schedule the first dental checkup for children on their first birthday. Then, follow-up routine checkups are suggested every six months. cleanings are critical to a child’s dental health. All children should visit their dentist at least two times a year for a check-up, during which the dentist will perform a cleaning.
2.Fluoride treatment for strengthening teeth
Fluoride plays a crucial role in strengthening children’s tooth enamel, so applying fluoride to teeth is considered a pediatric treatment, too. This way, your kid’s teeth will better resist decay.
3.Dental Sealants to Prevent Cavities
Back teeth are in danger of trapping food particles and bacteria. Dental sealants are thin coatings that are designed to cover molars, also known as back teeth, and prevent decay and cavities.
4.Cavity detection and fillings
Fillings are one of the most common pediatric dental procedures. Dental fillings are a treatment used to stop tooth decay after it has started. Children’s teeth are susceptible to cavities because children are still practicing and understanding good oral health habits.
5.Pulpotomy (Baby Root Canal) for Infected Teeth
Teeth that are damaged by infected pulps, which is a common disease in children, can be treated by pulpotomy (or baby root canal). A pulp is a living tissue inside the tooth with nerves and blood vessels. Its infection is painful, and the primary goal of this procedure is to relieve pain. So, this is considered a restorative treatment. Many times the tooth is also protected with caps ( paediatric caps ) specially for the teeth that have lost too much structure.
6.Tooth Extractions for Severe Decay or Crowding
Similar to adults, children may also require tooth removal in cases of serious injuries or severe decay. Additionally, overcrowding is another common reason for tooth extraction in kids.
7.Space Maintainers for Missing Teeth
In some cases, a baby tooth may fall out earlier, due to decay or injury. In such situations, dentists use space maintainers to ensure the permanent teeth have enough space to grow in the future. If not appropriately addressed, surrounding teeth can shift into the empty space, causing overcrowding and other misalignment issues.
8.Early Orthodontic Evaluation and Treatment
This is a developmental procedure for correcting dental issues in children aged 7 years and above. Early orthodontics aims to address serious problems with jaw growth and tooth development before they become challenging issues.
How to tell if your child may need early intervention?
- Early or late loss of baby teeth (your child should typically start losing teeth around age five and will have all permanent teeth around age 13).
- Difficulty chewing and/or biting.
- Your child continues sucking his or her thumb after age five.
- Protruding teeth (the top teeth and the bottom teeth extend away from each other.)
- Teeth that don't come together in a normal manner or even at all.
- Shifting of the jaw when your child opens or closes his or her mouth. (crossbites)
- Crowded front teeth around age seven or eight.
9.Habit councelling and habit breaking appliance
Habit appliances are devices that are most commonly used to help youngsters stop sucking their thumbs. Habit appliances are also known as habit breaking appliances or crib appliances. Most are metal devices that are placed on the inside of the front teeth and can look like metal retainers.
First Dental Visit (Age 1+)
- Dental Cleaning & Fluoride Treatment
- Cavity Detection & Fillings
- Tooth-Colored Restorations
- Space Maintainers for Missing Teeth
- Habit Counseling (Thumb Sucking, Pacifier Use)
- Emergency Dental Care
- Oral Hygiene Education
When Should You Take Your Child to the Dentist?
The Indian Dental Association recommends a child’s first dental visit by age one year or within six months of the first tooth eruption. Early dental visits help detect potential issues early and instill healthy oral habits.
Tips for Parents: Preventing Cavities in Children
- Brush twice a day with a pea-sized amount of fluoride toothpaste.
- Avoid sugary snacks and drinks between meals.
- Schedule regular dental check-ups every 6 months.
- Use a soft-bristled toothbrush suitable for your child’s age.
Book Your Child’s Dental Appointment Today!
Looking for a kids dentist in Goregaon East who’s caring, experienced, and great with children? Dentzania is your trusted partner for complete pediatric dental care.
Call us today: 8850406457
Visit: Shop No. 6, Lalani Grandeur, Ridhi Garden, Malad East, Mumbai - 400097
Website: www.dentzania.com
Dentzania – Your smile is important to us.
